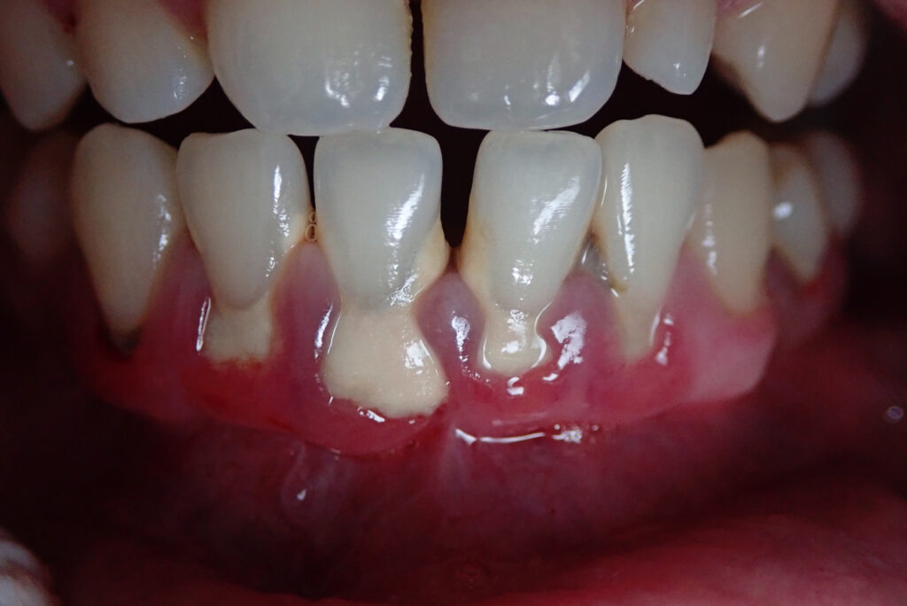
What causes gum disease and how to stop it early

Plaque buildup is just the start. Here is what actually drives gum disease and what it takes to reverse course before the damage becomes permanent. Gum disease begins in the mouth long before most people notice anything wrong. Bacteria naturally present in the mouth combine with mucus and food particles to form plaque, a […]
Poor oral health in kids could be quietly setting the stage for heart disease

Oral health in children may matter far more than most parents realize, and a new study out of the University of Copenhagen is drawing attention to a connection that has long been overlooked. Children who struggle with frequent cavities or severe gum disease appear to face a meaningfully higher risk of developing cardiovascular disease as […]
Gingivitis is quietly affecting millions of women over 50 and the signs are easy to miss

Gum health is rarely the first thing people think about when they consider their overall wellbeing, but it probably should be. Inflamed gums have been linked to elevated systemic inflammation, heart disease, and even cognitive decline. And gingivitis, the earliest stage of gum disease, is far more common than most people expect. Gingivitis is essentially […]